¿Por qué los niños tienen encías inflamadas?

En la etapa de crecimiento de los niños, es común que se presenten diferentes problemas de salud bucal, entre ellos, las encías inflamadas. Esta condición puede ser preocupante para los padres, ya que puede causar molestias y dolor en los pequeños. Pero, ¿por qué los niños tienen encías inflamadas? En este contenido, exploraremos las posibles causas de esta condición, así como los tratamientos y cuidados necesarios para mantener una buena salud bucal en los más pequeños. ¡Acompáñanos en este recorrido por el mundo de la salud bucal infantil!

Consejos efectivos para reducir la inflamación de las encías en niños

1. Cepillado adecuado: Es fundamental enseñar a los niños a cepillarse los dientes de manera adecuada desde una edad temprana. Recuerda utilizar un cepillo de dientes suave y cambiarlo cada tres meses. Además, asegúrate de que tu hijo se cepille los dientes al menos dos veces al día, especialmente después de las comidas.

2. Uso de hilo dental: El hilo dental es esencial para eliminar la placa y los restos de alimentos que se acumulan entre los dientes y en las encías. Enséñale a tu hijo cómo utilizar el hilo dental correctamente y haz que lo use al menos una vez al día.

3. Enjuague bucal: Un enjuague bucal sin alcohol puede ayudar a reducir la inflamación de las encías y combatir las bacterias que causan la gingivitis. Consulta con el dentista de tu hijo para encontrar el enjuague bucal adecuado para su edad.

4. Dieta saludable: Una dieta equilibrada y rica en nutrientes es esencial para mantener unas encías saludables. Evita los alimentos y bebidas azucaradas, ya que pueden contribuir a la inflamación de las encías. En su lugar, fomenta el consumo de frutas y verduras frescas, lácteos bajos en grasa y proteínas magras.

5. Evitar el tabaco: El tabaco es perjudicial para la salud bucal en general y puede empeorar la inflamación de las encías en los niños. Mantén a tu hijo alejado del humo de segunda mano y promueve un entorno libre de humo en casa y en otros lugares.

6. Visitas regulares al dentista: Es importante llevar a tu hijo al dentista regularmente para realizar revisiones y limpiezas profesionales. El dentista podrá detectar y tratar cualquier problema dental a tiempo, incluyendo la inflamación de las encías.

7. Enseñar buenos hábitos de higiene bucal: Además del cepillado y el uso de hilo dental, es fundamental enseñar a tu hijo a tener buenos hábitos de higiene bucal. Esto incluye evitar morderse las uñas, usar los dientes como herramientas y chuparse el pulgar o usar chupetes pasados los 3 años.

Recuerda que lo más importante es enseñar a tu hijo la importancia de cuidar su salud bucal y establecer rutinas de higiene oral desde una edad temprana. Si la inflamación de las encías persiste o empeora, es importante consultar con un dentista para recibir el tratamiento adecuado.

Los peligros de la inflamación de encías en niños y cómo prevenirlo

La inflamación de encías en niños es un problema común que puede tener consecuencias graves para la salud oral. Aunque es más común en adultos, los niños también pueden experimentar inflamación de encías debido a la acumulación de placa y bacterias en la boca. Esto puede llevar a la enfermedad de las encías, conocida como gingivitis, que si no se trata adecuadamente, puede progresar a periodontitis, una condición más grave.

La inflamación de encías en niños puede ser causada por diferentes factores, como la mala higiene oral, la dieta poco saludable, los cambios hormonales durante la pubertad y la presencia de caries. Los síntomas comunes incluyen encías enrojecidas, hinchadas y sensibles, sangrado durante el cepillado o el uso de hilo dental, mal aliento y recesión de las encías.

Para prevenir la inflamación de encías en niños, es importante establecer buenos hábitos de higiene oral desde una edad temprana. Aquí hay algunas medidas preventivas clave:

1. Cepillado adecuado: Enséñale a tu hijo la técnica adecuada de cepillado dental utilizando un cepillo de dientes suave. Asegúrate de que cepille sus dientes al menos dos veces al día, durante dos minutos cada vez.

2. Uso de hilo dental: Introduce el uso de hilo dental en la rutina de cuidado oral de tu hijo una vez que tenga suficiente destreza para hacerlo. El hilo dental ayuda a eliminar la placa y los restos de comida entre los dientes y a lo largo de la línea de las encías.

3. Alimentación saludable: Limita el consumo de alimentos y bebidas azucaradas, ya que el azúcar es un factor que contribuye a la acumulación de placa y bacterias. Fomenta una dieta equilibrada que incluya frutas, verduras y alimentos ricos en calcio para promover la salud oral.

4. Visitas regulares al dentista: Lleva a tu hijo al dentista al menos dos veces al año para realizar chequeos y limpiezas profesionales. El dentista podrá detectar cualquier signo de inflamación de encías y brindar el tratamiento adecuado.

5. Enseñanza y supervisión: Asegúrate de enseñar a tu hijo la importancia de una buena higiene oral y supervisar su cepillado y uso de hilo dental hasta que sea lo suficientemente mayor para hacerlo de manera independiente.

La inflamación de encías en niños puede ser un problema serio si no se trata adecuadamente. Siguiendo estos consejos de prevención, puedes ayudar a mantener la salud oral de tu hijo y prevenir la aparición de problemas relacionados con las encías. Recuerda que la atención temprana y regular es clave para prevenir complicaciones a largo plazo.

La inflamación de las encías: una señal de alerta sobre una posible enfermedad periodontal

La inflamación de las encías es un síntoma común de una posible enfermedad periodontal. Esta condición, también conocida como enfermedad de las encías, es una infección bacteriana que afecta los tejidos que rodean y sostienen los dientes.

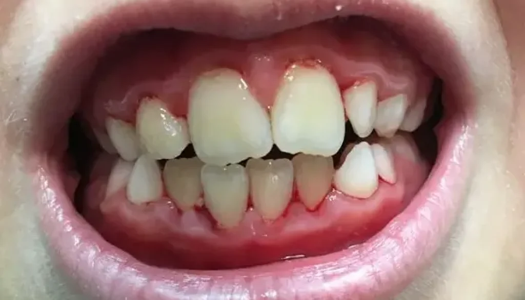
Cuando las encías están inflamadas, suelen presentar enrojecimiento, hinchazón y sensibilidad. Además, es posible que se experimente sangrado durante el cepillado o el uso del hilo dental. Estos son signos claros de que algo no está bien en la salud bucal.

La inflamación de las encías es causada principalmente por la acumulación de placa bacteriana en los dientes y las encías. La placa es una película pegajosa compuesta por bacterias, restos de alimentos y saliva. Si no se remueve adecuadamente, puede endurecerse y convertirse en sarro, lo cual favorece el crecimiento de más bacterias y aumenta el riesgo de enfermedad periodontal.

La enfermedad periodontal puede progresar si no se trata a tiempo. En sus etapas iniciales, se conoce como gingivitis, y se caracteriza por la inflamación de las encías. Si no se controla, la gingivitis puede evolucionar hacia una forma más avanzada de enfermedad periodontal, llamada periodontitis.

La periodontitis se caracteriza por la destrucción de los tejidos que rodean los dientes, incluyendo el hueso que los sostiene. Esto puede llevar a la pérdida de dientes y a complicaciones de salud más graves, como enfermedades cardíacas y diabetes.

Es importante prestar atención a los signos de inflamación de las encías y tomar medidas para prevenir y tratar la enfermedad periodontal. Esto incluye una buena higiene bucal, que consiste en cepillarse los dientes al menos dos veces al día, usar hilo dental diariamente y acudir regularmente al dentista para limpiezas profesionales.

La duración de la gingivitis en niños: ¿Cuánto tiempo puede persistir esta enfermedad bucal?

La gingivitis es una enfermedad bucal común en niños y se caracteriza por la inflamación de las encías. Aunque puede variar de un niño a otro, en general, la duración de la gingivitis en niños puede ser de varias semanas a varios meses.

La gingivitis en niños puede ser causada por una mala higiene bucal, una dieta poco saludable, cambios hormonales, falta de vitaminas y minerales, o la presencia de bacterias en la boca. Si no se trata adecuadamente, la gingivitis puede convertirse en una enfermedad periodontal más grave.

Es importante tener en cuenta que la duración de la gingivitis en niños puede ser influenciada por diversos factores, como la gravedad de la enfermedad, la respuesta del sistema inmunológico del niño y la efectividad del tratamiento.

El tratamiento de la gingivitis en niños generalmente implica mejorar la higiene bucal, incluyendo el cepillado regular de los dientes y encías, el uso de hilo dental y enjuagues bucales. También es importante seguir una dieta equilibrada y evitar alimentos y bebidas azucaradas que puedan empeorar la condición.

Si la gingivitis no mejora después de varios meses de tratamiento adecuado, es importante consultar a un dentista u odontopediatra. Pueden ser necesarios tratamientos adicionales, como la limpieza profesional de los dientes y encías o el uso de medicamentos específicos para tratar la inflamación.

Si tu hijo presenta encías inflamadas, es importante acudir al dentista para un diagnóstico preciso y un tratamiento adecuado. Recuerda que el cuidado bucal desde temprana edad es fundamental para garantizar una sonrisa sana y feliz. ¡Cuídate y cuida de los más pequeños!